Daniel Thoma is a Head of Academic Unit at the Clinic for Fixed and Removable Prosthodontics and Dental Material Sciences, University of Zurich, Switzerland.
This course is structured in 3 parts, with exams separating each part. The information provided in this course includes educational videos, instructive modules from the Dental Campus platform, live webinars and a multitude of vivid clinical examples and videos.
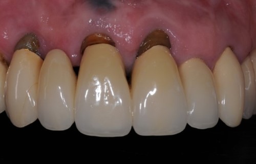
Long-term successful outcomes with implant therapy are based on aa number of parameters. Among these, the critical assessment of the peri-implant soft tissues and subsequent therapeutical interventions are considered key factors. This course increases your theoretical expertise and knowledge allowing to treat your patients according to the current state of art.
Upon completion of this course, the participants:
- know the indications and the materials for soft tissue grafting
- know the limitations and complications of autogenous materials
- know the instruments for per-implant soft tissue surgeries
- know the basic principles of wound healing and key-factors to prevent complications in peri-implant soft tissue surgeries
- know intra- and post-operative complications and how to handle them
-









































We are here to help if you have any question regarding this course.
Simply send us an email at contact@dental-campus.com and we will reply to you very shortly.